
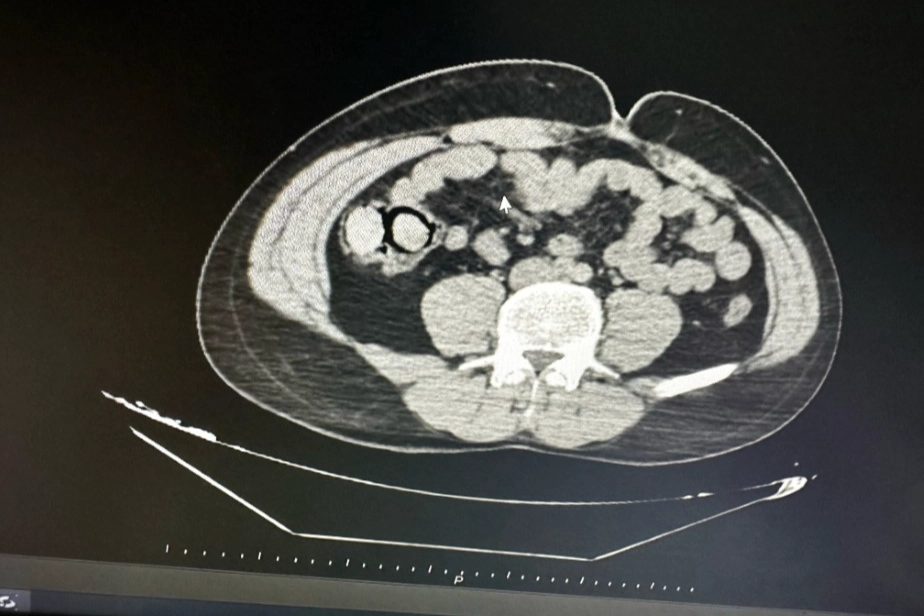
Bingöl Emniyet Müdürlüğü Narkotik Suçlarla Mücadele Şube Müdürlüğüne bağlı narko-timleri akıllara durgunluk veren bir uyuşturucu kaçakçılığını çözdü. Ekiplerin çalışmaları neticesinde otobüs ile Bingöl’e gelen şüpheli yabancı uyruklu 2 şahsın iç beden muayenesinde 10 parça halinde 113 gram metamfetamin maddesi tespit edildi. Emniyetteki işlemlerinin ardından mahkemeye çıkarılan 2 şahıs, uyuşturucu madde ticareti yapmak suçundan tutuklanarak Elazığ Kapalı ceza infaz kurumuna teslim edildi.